Sairam Dental care

Sairam Dental care simplifies dental health, making it a hassle-free and stress-free experience. Our proficient team and state-of-the-art facilities guarantee that your journey towards a healthy smile is smooth and effortless. Discover a new approach to dental care, where your overall well-being takes precedence.

Our 5k+ Patient Worldwide

98%

Trusted by our happy patient care

" Your Smile is Your Best Asset – Keep It Bright, Healthy, and Confident. "

About SAIRAM Dental Clinic

Your Journey to Confidence Begins Here!

Sairam dental care located in Dharmapuri, with Leading Dentist In Oddapatti, is the Dental Hospital with exclusive root canal, Braces & Invisalign center. Led by renowned Drs Raghuraaman ( Periodontist) and Nivetha Raghuraaman ( Orthodontist) Sairam dental care offers gum treatment with expertise in laser, root canal treatment and digital smile correction with advanced technology aim to focus on aesthetics, comfort and precision. The clinic also specializes in Invisalign treatment, digital smile makeover, laser gum care, dental implants, root canal therapy, extractions and full-mouth rehabilitation blending compassionate care and clinical excellence.

Friendly Environment

Experienced Dental

Personalized Patient care

Pain-Free Dentistry

Why choose us

Our professional, experienced, and passionate dentists make us the best choice for Invisalign treatment in Dharmapuri, providing top-notch dental services.

Emergency Care

A dental emergency is an issue involving the teeth & supporting tissues that is of high importance to be treated by the relevant professional.

Quality Equipment

We treat our patients with latest equipment and modern technology, so that they have a very comfortable and pleasant experience.

Painless Dentistry

Painless dentistry works by not only removing any pain or discomfort from your dental visit, but also by removing your anxiety.

Affordable Price

We provide dental treatments at a very affordable price. Anyone can afford our dental care and treatment services.

Testimonials

let see, what our clients say about us

Real experiences from real patients who have trusted us with their dental care.

4.3/5

Based on 120 review

" I underwent Laser gum surgery here and the experience was seamless and pain-free throughout the process, with patience and care. "

Shanmuga Priya

1 week ago

" Affordable Price and politely asked about our issues. I came for a tooth filling, and the doctor openly discussed the next stage of treatment. I strongly recommend Sairam Dental Clinic for all dental needs."

Aberame abeponarul

6 years ago

" Done wisdom tooth extraction in Sairam Dental Care. Dr Raghuraaman provides an excellent service of painless tooth removal. Had a great experience without fear of pain."

Muniraj

5 days ago

Our Services

Innovative Dental Treatments for Better Oral Health

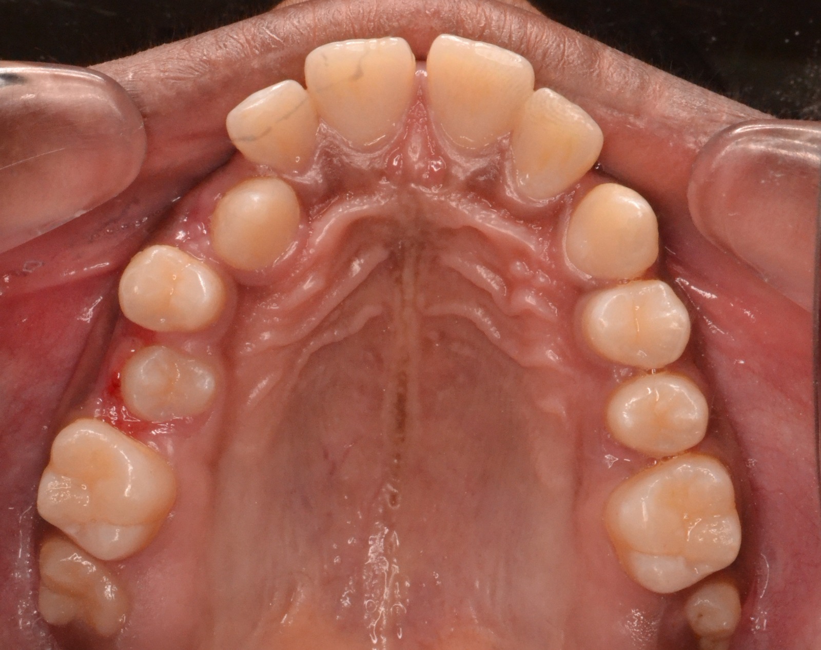
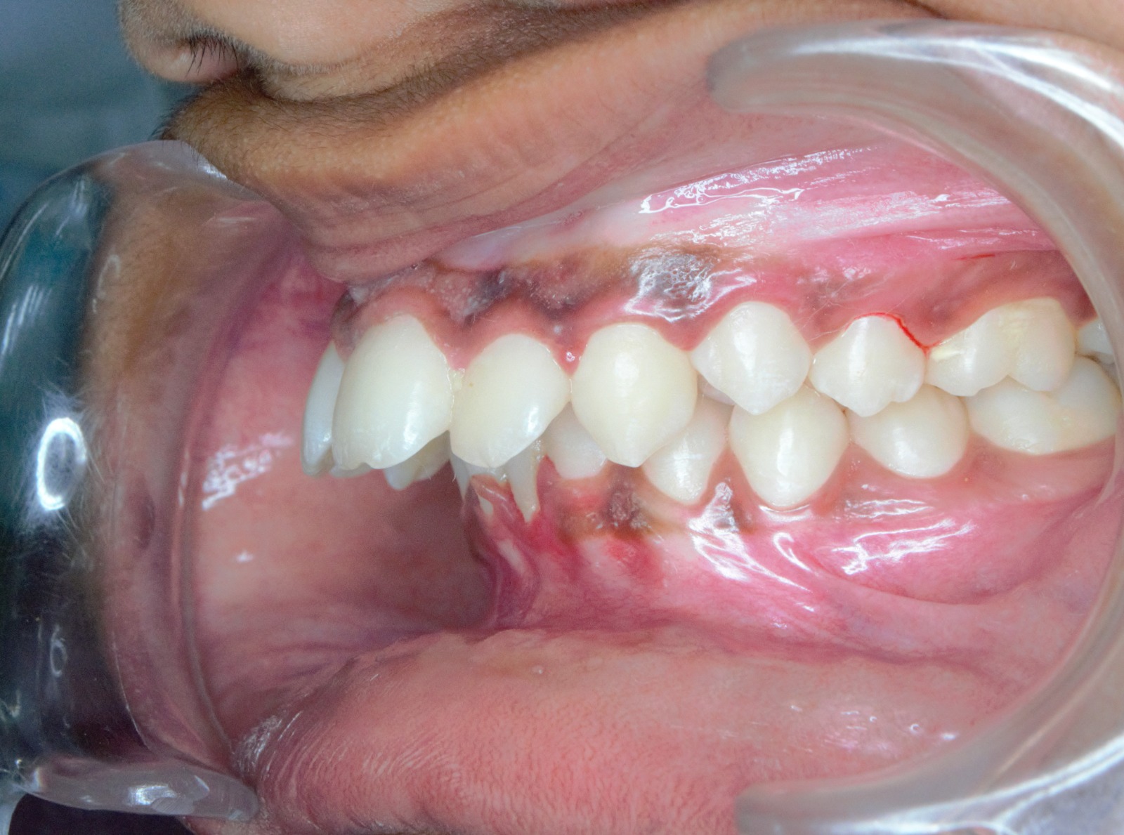
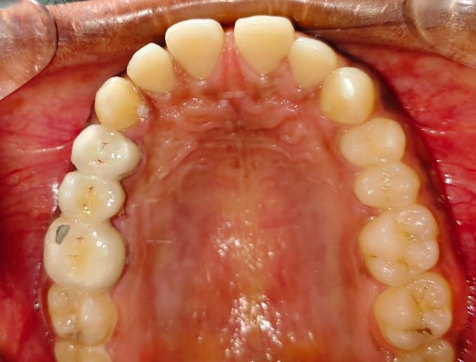
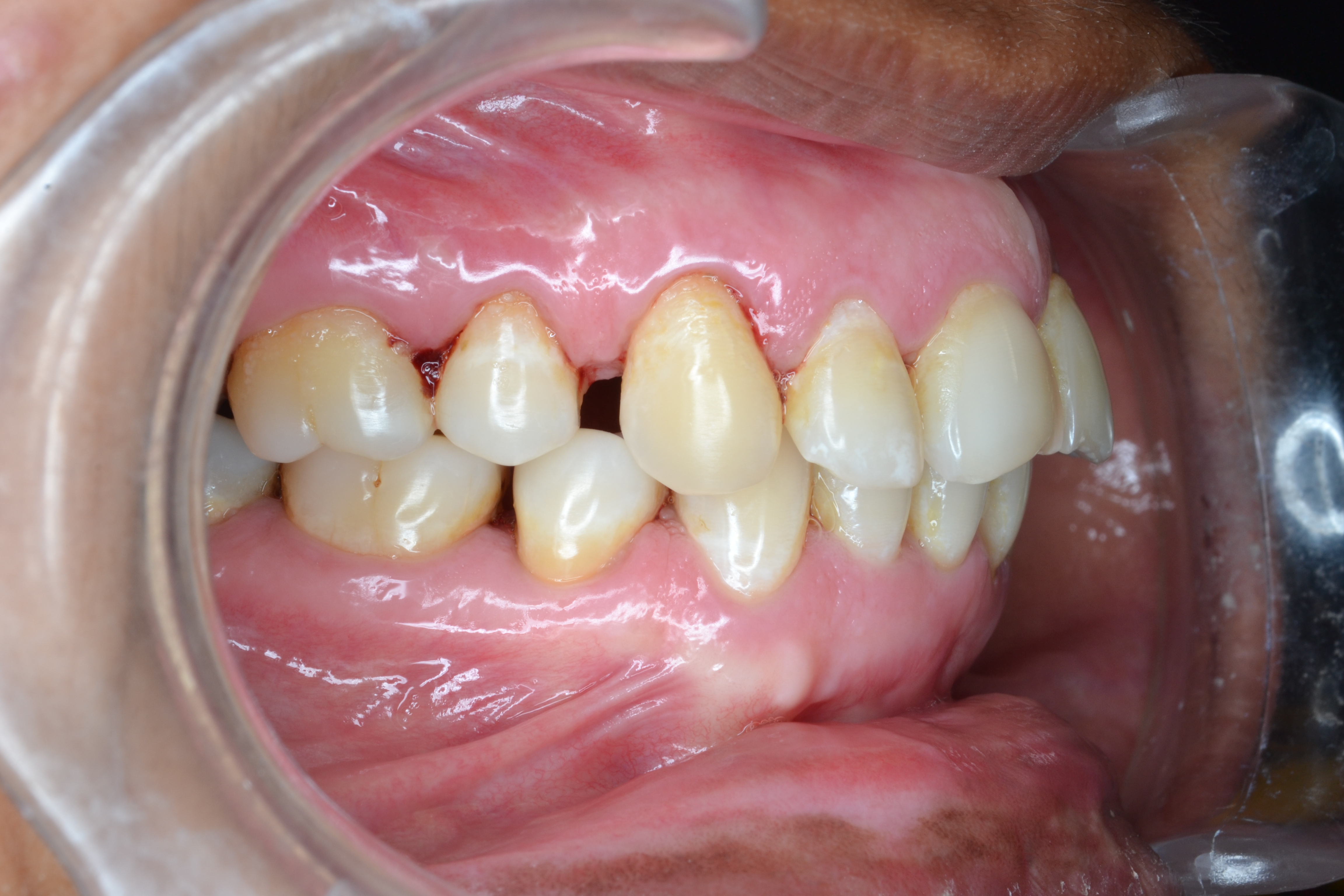
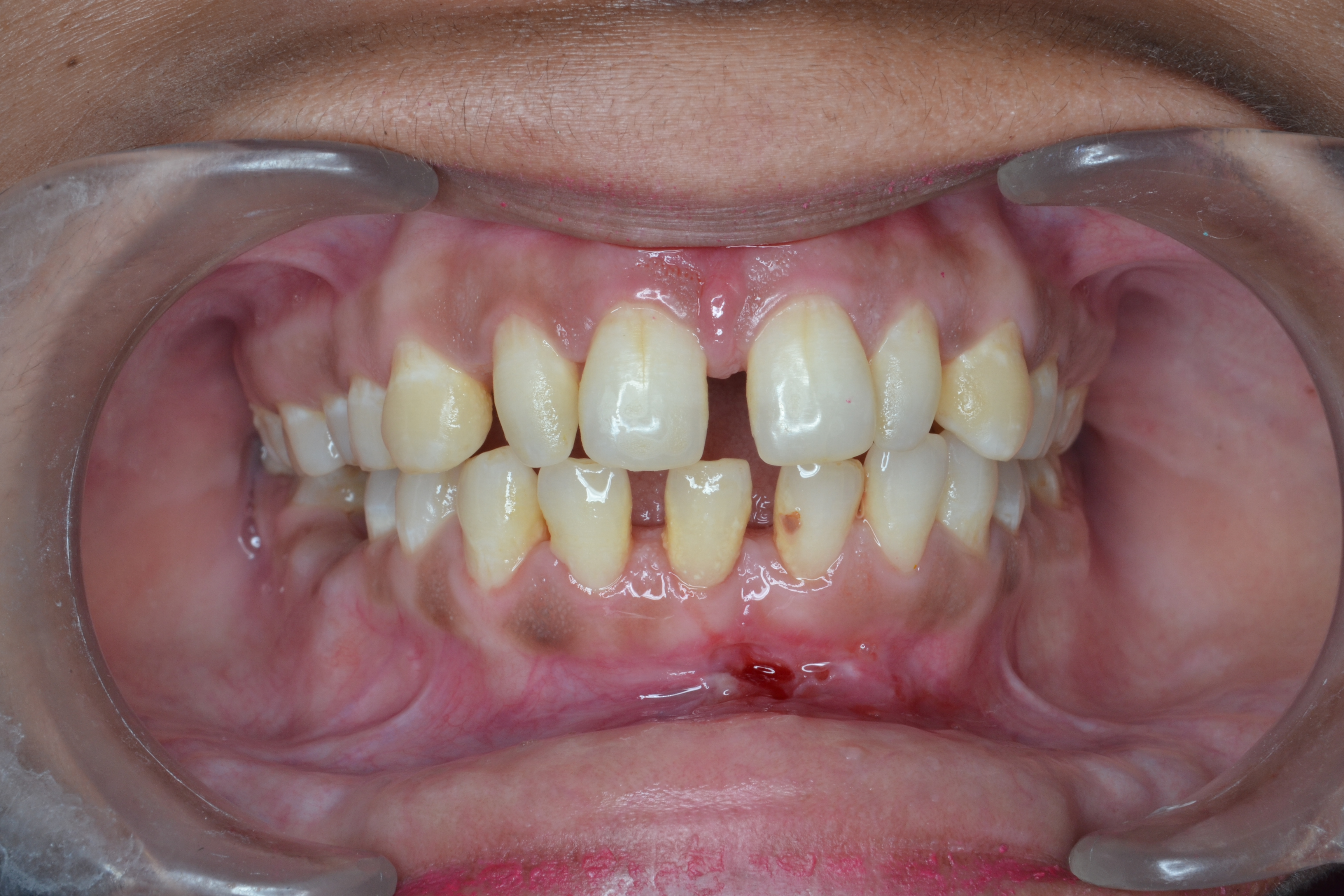
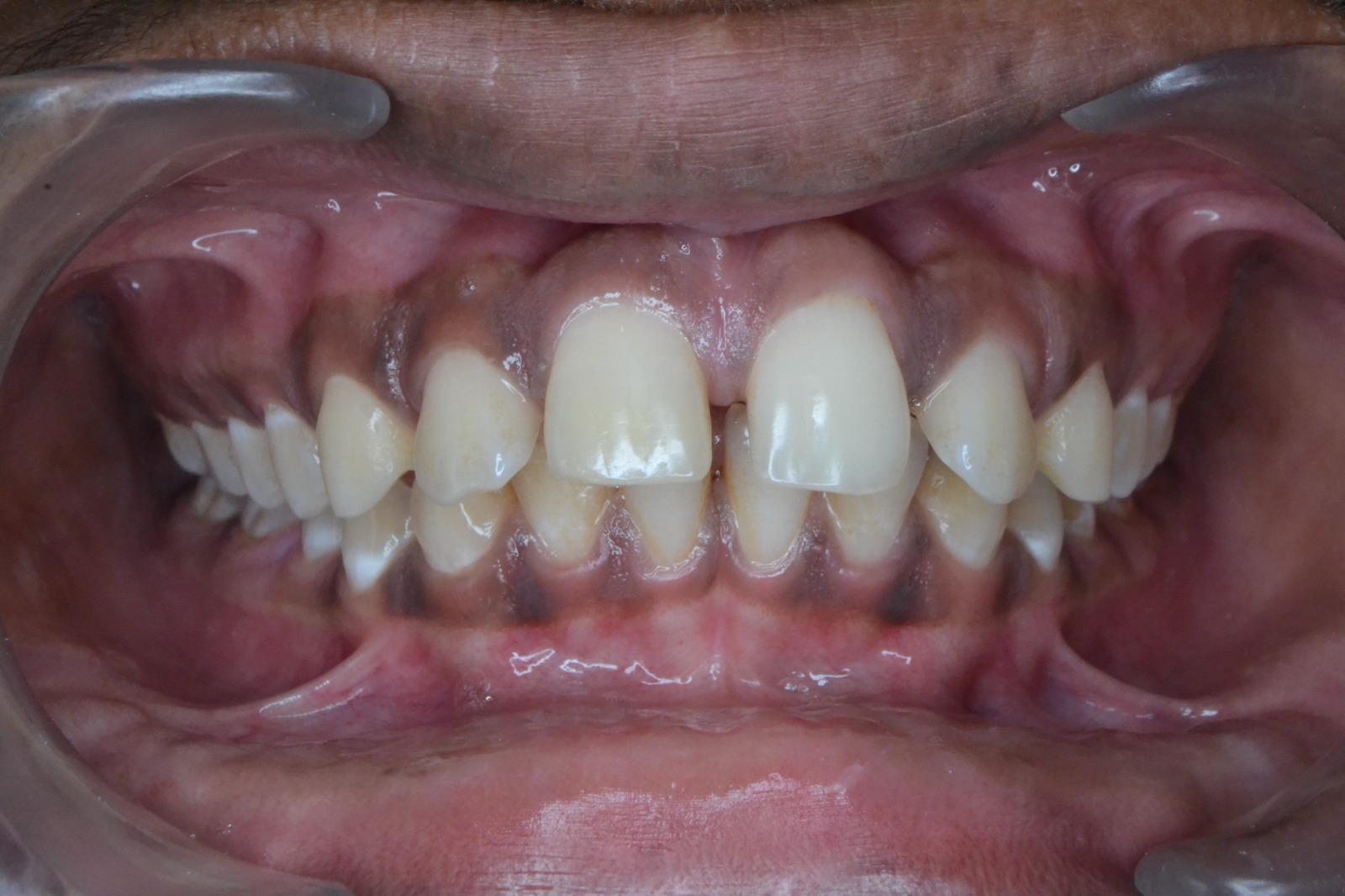
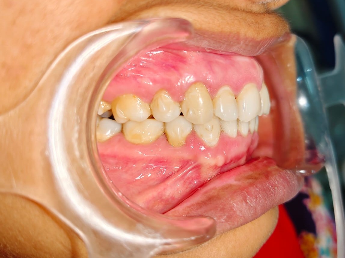
After/Before

See stunning smile transformation before and after

Before After
Before After
Before After
Before After
Before After
Before After
Before After
Before After
Before After
Before After
Before After

latest Blogs

Dental Health Blog – Tips for a Better Smile